Digging down six meters into the soil isn’t usually easy to do. Thunderous machines attached to the back of a truck might come into play. But in a wetland with soft organic soil, a pair of two, average sized women, covered in mud and motivated by curiosity, can pull a core of soil the height of an adult giraffe out of the ground, one half-meter at a time. One of those women was me; the other, a willing alumni of my graduate program, Catherine. I recruited her to help to take this peat core for my master’s project, studying the natural history of the peatlands that surround Joe’s Pond, in Morrisville. 


Peat makes for an impressive natural refrigerator. A combination of cold temperatures, acidic soil, and persistent wetness make fens and bogs particularly good at preserving and accumulating organic material; seeds, leaves, mosses, chunks of wood, remnants of the natural communities that surrounded Joe’s Pond before it became the fen that floats there today. The normal decomposition and nutrient cycling that happens in our forests and less-wet-wetlands (like marshes and swamps) can’t happen in the spongey, stinky peatland soil. Beneath us lay a library of ancient history, somewhere around thirty feet of it, deposited over the last 15,000 years, since the Ice Age. It was the prize I waited to pry out all season, the slice of earth that held the information I couldn’t quite glean from above. 

Emily pulling a core
Emily DeAlto pulling out a peat core at Joe's Pond Natural Area. 


When peat coring day finally came, Catherine and I turned the big metal corer like a giant wine bottle opener. We each took one side and pushed hard, and spun slowly around, two oxen spinning a water wheel, until we felt the flap door, some five meters below us, close into place, trapping a half meter of peat inside. To pull the corer back out, I had to spread my feet wide and haul the bar up to my chest with a loud grunt. Catherine, meanwhile, wrenched out the rope that was tied to the bottom of the corer, a sailor raising the anchor. Meter by meter, the metal poles rose up into the air. 

I didn’t notice until I got home that the calluses on my hands ripped off from gripping the slippery metal. The pole had frozen my fingers and numbed my palms, despite the fact that it was a sweltery July day, as if I had pulled the core straight from the ancient glaciers instead of a floating mat along a pond. With each successful half meter, I erupted with a great sigh, wiped my muddy hands, and then buckled down for the next one. Down and down we went, until we got down to the bottom of the peat and into gyttja, an organic mud found at the bottom of lakes and ponds, letting us know that this peat started accumulating over open water. 

Peat cores
The peat cores depicting what wetland looked like ten thousand years ago up until today. 


A few months later, I picked the core apart, five centimeters at a time, looking for those mosses and seeds and leaves of shrubs that tell me more about what this wetland looked like ten thousand years ago to today. The shifts in vegetation and decomposition I found in the core make up the basis of my understanding of this wetland’s natural history, and it seems a lot has changed in its lifetime. First, it was an open water pond, dominated by aquatic plants. Then, a marshy fen, with high rates of decomposition in the soil, which allowed a shrub swamp to form, with woody material dominating the drier peat. Finally, Sphagnum mosses colonize the peatland when water levels rise again. There is no forward or backward in this peatland's life; it just persists, trying on different faces to suit its environment. 

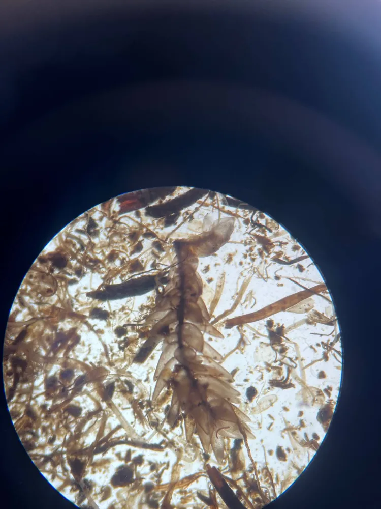
Peat core
Under a microscope, Sphagnum moss is found in the peat core. 


Peat cores can be used as a proxy for more than just vegetative trends. They can be used to determine the amount of carbon that has been sequestered in the ecosystem during different eras, they hold pollen grains that can be counted to make predictions about the climate over time, they can be used to track. 

The Natural Areas program owns and stewards not just these two peatlands, but another two as well: Shelburne Pond and Colchester Bog. There are even some small peatlands on top of Mount Mansfield, another Natural Area. The methods I’ve developed at Joe’s can be used at all of these wondrous wetlands that UVM has as a resource for research, which can help us understand the climatic trends Vermont has seen in the past, and what that might mean for Vermont’s future. 

Joe's Pond is held as a conserved property by Stowe Land Trust.