Malaria Parasites: Ecology and Evolution
The Schall Lab at the University of Vermont
Current Lab Group
Former Graduate Students
Undergraduate Research
Field Sites
Techniques
Funding Sources
Lizard Malaria Parasites
Publications
Lizard Malaria Parasites
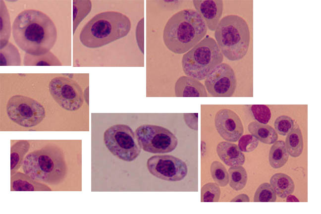
Schizonts of
Plasmodium mexicanum