Malaria Parasites: Ecology and Evolution
The Schall Lab at the University of Vermont
Current Lab Group
Former Graduate Students
Undergraduate Research
Field Sites
Techniques
Funding Sources
Lizard Malaria Parasites
Publications
Lizard Malaria Parasites
Plasmodium mexicanum
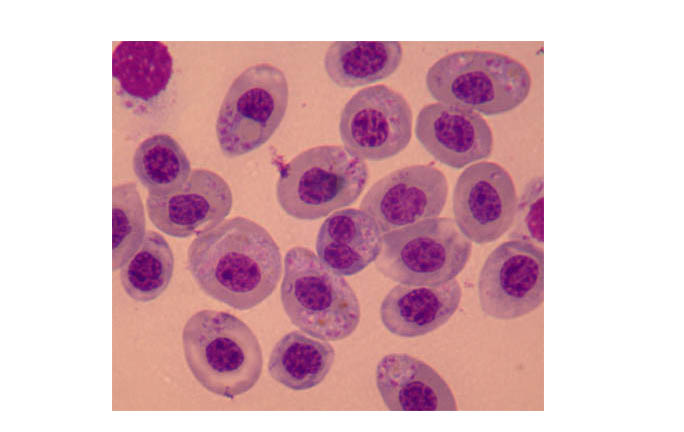
Massive Infection
A massive infection, with most erythrocytes infected with trophozoites or schizonts.