|
|
|
|
|
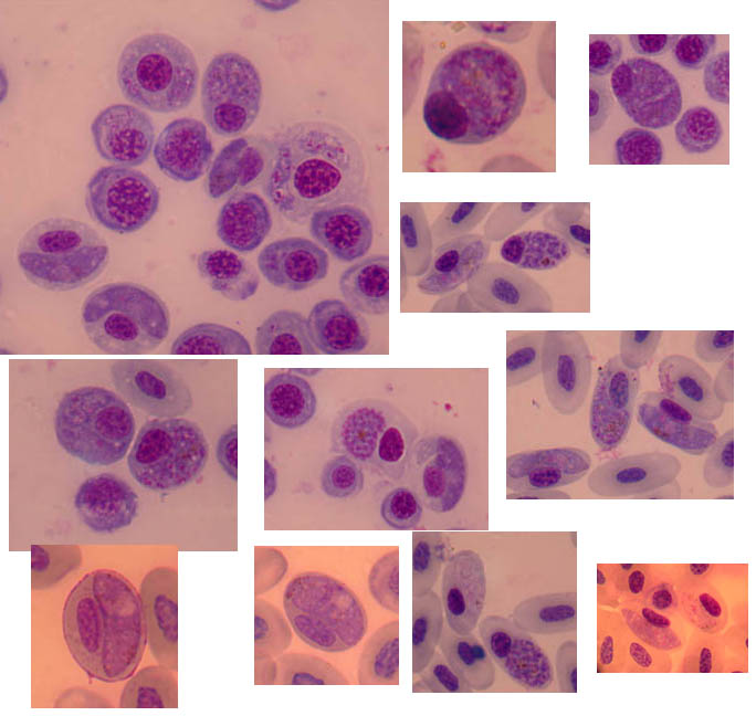
Plasmodium giganteumMassive infection |
|
|
|
|
| Additional photographs of Plasmodium giganteum a parasite of Agama agama from Sierra Leone in west Africa. Again, note the very large immature schizonts and enormous mature schizonts and giant gametocytes. |
|
|